红网时刻新闻1月16日郴州讯(通讯员 黄欢欢)近日,郴州市第四人民医院病房里,一面印着“国服扁鹊,医术精湛”的鲜红锦旗格外引人注目。这八个字背后,是一场惊心动魄的生死救援——该院心血管内科、神经外科、ICU等多学科团队携手合作,成功挽救了一名危重患者。这也是医院多学科协作(MDT)诊疗模式,在复杂危重症救治中发挥关键作用的一次生动实践。

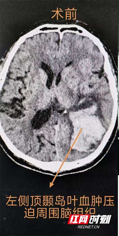
62岁的唐先生因胸闷、胸痛半年,加重1小时入院郴州市第四人民医院心血管内科,被确诊为急性心肌梗死。团队实施急诊冠状动脉造影(CAG)+经皮冠状动脉介入治疗(PIC),暂时稳定了患者的心血管状况。然而术后第一天,患者血小板计数骤降至10×10⁹/L,神志由清醒转为模糊,头部CT检查提示左侧顶叶脑出血,“心脑同病”的复杂情况让治疗更加棘手。
神经外科等科室医生迅速参与会诊,结合患者心脏支架植入后的身体状况,评估认为当前外科手术风险极高,团队一致决定暂时采取保守治疗,将患者转入NICU进行24小时严密监护。由于患者接受了心脏支架手术,需服用抗凝药物防止支架内血栓形成,而抗凝药物又可能导致脑出血继续增加,手术后新发出血可能性很高,主动耐心细致地与患者家属沟通病情及治疗方案,打消他们的顾虑。4天后患者左侧脑内出血量明显增加,可能危及生命,随即启动多学科协作讨论,联合心血管内科、ICU、麻醉科评估手术风险及耐受性,决定采用颅骨钻孔血肿碎吸引流术这一微创术式,精准定位、颅骨钻孔、血肿腔穿刺引流,短短数十分钟,手术取得圆满成功。


术后,患者返回ICU接受高级生命支持,病情得到有效控制,患者神志与肌力逐渐改善,转入神经外科普通病房。护理团队贯彻早期康复理念,术后第三天即开始良肢位摆放、关节被动活动等基础护理,并指导家属参与肢体按摩与被动训练,针对患者可能出现的运动与吞咽障碍,团队制定分阶段个性化训练计划,全程跟进、动态调整。
此次复杂危重患者的成功救治,彰显了郴州市第四人民医院多学科协作的核心优势。未来,医院将持续深化MDT诊疗模式的应用,整合各学科优势,精进护理服务质量,为区域内复杂危重患者提供更优质、更高效的医疗服务,用专业与协作守护百姓的生命健康。
来源:红网时刻
作者:黄欢欢
编辑:沈馨
本文为郴州站原创文章,转载请附上原文出处链接和本声明。