红网时刻新闻12月31日郴州讯(通讯员 黎飞)近日,一位58岁女性患者的就诊经历,再次为女性乳腺健康敲响了警钟。仅仅三个月,一个被忽视的“小疙瘩”竟疯长至10厘米的巨大肿瘤,最终不得不接受全乳切除。这起病例深刻警示:对乳腺异常切莫心存侥幸,建立并坚持科学的乳腺健康筛查习惯,是实现早诊早治、守护健康的关键防线。
患者谢某(化名)一年前无意中触摸到右侧乳房有一小肿块,因不痛不痒,便未予重视。然而近三个月来,肿块迅速增大,就诊时已长成直径约10厘米,导致乳房严重变形,生活深受影响。来到郴州市第四人民医院心胸乳腺外科就诊,经过紧急穿刺活检,确诊为“乳腺叶状肿瘤”。

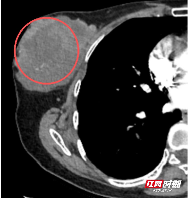
直径约10厘米的肿块。
由于肿瘤体积巨大,几乎替代了正常腺体,且表面皮肤已出现水肿,为彻底切除病灶、避免复发,医疗团队经慎重评估,为患者施行了右侧乳房全切术。术后病理证实为交界性叶状肿瘤,切缘干净。目前患者恢复良好,已康复出院。她追悔道:“总以为不疼就没事,要是早一年来筛查,结果可能完全不同。”
科普:乳腺叶状肿瘤与系统性健康筛查
乳腺叶状肿瘤是一种相对少见的肿瘤,其特点包括生长较快、性质多样(良性、交界性、恶性)。此病例凸显,许多乳腺疾病初期症状隐匿,系统性的健康筛查是打破“不痛不治”误区、抢占治疗先机的根本手段。
乳腺健康筛查“三部曲”,构筑主动防御网:
1、必做功课:每月自我检查
时间:每月月经结束后第7-10天进行;已绝经女性可固定每月同一天。
方法:面对镜子观察乳房外形、皮肤及乳头有无变化;仰卧,用手指指腹(非指尖)以画圈、按压等方式检查乳房及腋窝区域,感受有无肿块、增厚或压痛。
目的:熟悉自身乳房常态,提高对细微变化的警觉。
2、专业把关:每年临床体检
建议:即使无症状,成年女性也应每年至少一次由乳腺专科医生进行专业触诊和问诊。
优势:医生凭借经验,能发现患者自己可能忽略的深层或微小异常,并给出进一步的检查建议。
3、精准洞察:定期影像学筛查
乳腺超声:无辐射,对致密型乳腺组织分辨率高,是各年龄段首选的初筛和鉴别肿块性质的重要工具,可每年进行一次。
乳腺钼靶(X线摄影):对检测微钙化灶(某些早期乳腺癌的征兆)非常敏感。一般推荐40岁及以上女性每1-2年进行一次;对于有家族史等高危因素者,起始年龄可能需提前。
乳腺磁共振(MRI):敏感性极高,主要用于高危人群(如BRCA基因突变携带者)的补充筛查,或用于超声、钼靶难以明确诊断的复杂情况。
特别提醒:中老年女性、有乳腺疾病或卵巢癌家族史、未生育或晚育、长期压力过大等人群,属于重点筛查对象。一旦自查或体检发现无痛性肿块、局部皮肤凹陷或“橘皮样”改变、乳头溢液(尤其是血性)、乳头不明原因回缩等任何异常,必须立即就医,由专业团队进行精准评估。
来源:红网时刻
作者:黎飞
编辑:沈馨
本文为郴州站原创文章,转载请附上原文出处链接和本声明。