红网时刻新闻10月30日郴州讯(通讯员 朱智慧)“我就是冲着你们的技术来的!”近日,患者李某(化名)专程从近三百里外的大亚湾慕名而来,在郴州市第四人民医院泌尿外科接受了治疗后,他带着一身轻松和满心感激,将一面写有“医技高超医德赞,关怀备至如家人”的锦旗,送到了医护人员的手中。

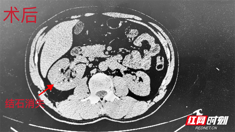
李某被肾结石困扰多年,曾多次行结石手术,但反复发作的钝痛与不适感长期困扰着他的生活和工作。经过反复咨询与比较,他最终将希望寄托在湘南地区的郴州市第四人民医院泌尿外科。面对患者的信任,泌尿外科主任陈星星接诊后,针对其肾脏内结石的位置与大小,决定采用常规开展的输尿管软镜钬激光碎石术为患者解除病痛,通过人体自然腔道精准碎石。同时,结合科室成熟的加速康复护理模式,从术前指导到术后康复,全程精准护航。


在技术与护理的双重保障下,患者从入院、手术到康复出院全程仅不到48小时,真正实现了“高、精、快”的优质诊疗体验。出院时,他欣喜地送上锦旗,由衷赞叹:“技术高、服务暖,这一趟来对了!”
一面锦旗,跨越省界;一份信任,重于千金。一面锦旗,患者的赞誉与康复,是郴州市第四人民医院泌尿外科用技术与关怀写下的又一段暖心篇章。医院将不断提升医疗技术水平,优化服务体验,让“技术高、服务暖”成为最闪亮的标签,成为更多患者信赖的健康港湾。
来源:红网时刻
作者:朱智慧
编辑:沈馨
本文为郴州站原创文章,转载请附上原文出处链接和本声明。