红网时刻新闻4月2日郴州讯(通讯员 李思璇)近日,郴州市第四人民医院神经医学中心病房内上演了温馨的一幕。一名患者家属将写有“医德高尚医术精,关爱病患暖人心”字样的锦旗送到神经外科主任医师雷国和主治医师李杭键手中,传递出浓浓的医患情。

患者家属将锦旗送到科室主任及医护人员手中。
患者李某因听力下降、头晕、耳鸣等症状求医,在郴州市第四人民医院检查后被诊断为左侧听神经鞘瘤。听神经鞘瘤虽大多为良性肿瘤,但随着肿瘤的生长,会逐渐压迫周围神经和脑组织,导致听力丧失、面瘫甚至危及生命,这一消息让患者及其家人陷入了极度的焦虑与恐惧之中。
听神经瘤切除术是神经外科领域极具挑战性的手术之一,手术过程中既要完整切除肿瘤,又要最大程度保护听神经和面神经等周围重要结构,稍有不慎就可能导致患者术后听力丧失、面瘫等严重并发症。神经外科主任雷国带领团队迅速展开病情研讨,制定了详细的手术方案,并组织全院多学科会诊,评估手术风险,力争将围手术期风险降至最低。

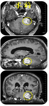
术前,核磁共振检查提示,患者左侧桥小脑角占位。
术中,在显微镜辅助下配合神经电生理监测,团队仔细辨别面、听神经,小心沿包膜分离面、听神经和肿瘤,经过数小时的紧张操作,成功地将肿瘤完整切除。
术后,患者身体恢复良好,无明显后遗症,康复出院。重新回归正常生活的李某为了表达内心的感激之情,委托家属特意定制了这面锦旗送到神经外科,患者家属感谢说:“是郴州市第四人民医院医护人员给了我们家人第二次生命,你们不仅医术精湛,对患者更是关怀备至,让我们在绝望的时候看到了希望。”

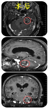
术后,显示左侧听神经鞘瘤已消失。
能够帮助患者战胜病魔、恢复健康,是医护人员的心愿和价值所在。这面锦旗背后,是神经外科团队与患者共同战胜病魔的感人故事,也是郴州市第四人民医院坚持以患者为中心,不断提升医疗服务质量的生动体现。
医生提醒,如果一侧耳朵出现不明原因的耳鸣、听力持续下降,排除耳部疾病后,应及时到医院进行颅内肿瘤的排查;如果有面部发麻、行走不稳、饮水呛咳、吞咽困难等症状,也需到专科就诊,及时排查听神经瘤。
来源:红网时刻
作者:李思璇
编辑:沈馨
本文为郴州站原创文章,转载请附上原文出处链接和本声明。