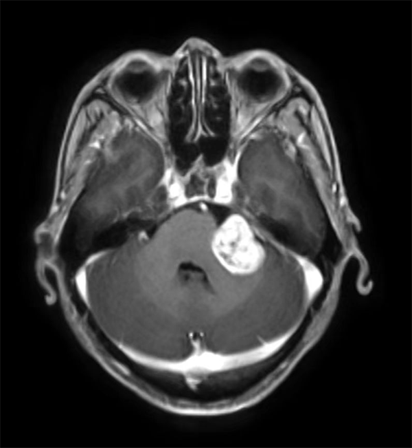
红网时刻新闻11月8日讯(通讯员 李杭键)56岁的张先生近半年来出现左耳听力明显下降,偶尔还有头痛等不适症状,他以为是没有休息好所以没有太在意。近日,张先生左耳听力下降的越发严重,近乎完全听不到声音,且左侧面部麻木伴随口角稍歪斜,意识到事情的严重性,立即到郴州市第四人民医院神经外科就诊。入院完善MRI平扫+增强显示:左侧桥小脑角占位,一枚大小约24mm×26mm×28mm形似“鸽子蛋”的肿瘤卧于患者左侧桥小脑角区,结合张先生的病史、体查及影像学检查,诊断考虑“左侧听神经瘤”。

MRI提示肿瘤形似一枚“鸽子蛋”,生长在患者左侧桥小脑角区。
考虑到肿瘤已经压迫左侧面神经、左侧三叉神经等相关神经,为最大限度的保护患者面神经功能及相关神经,神经外科主任彭璞带领肿瘤团队经讨论后决定,在神经电生理监测下行“经乙状窦后入路切除术”,这种手术的优势在于对脑组织的牵拉最小,可尽早定位面神经和精准识别,以避免面神经的损伤。

显微镜下切除肿瘤。
术中,电刺激器探查发现左侧面神经位于肿瘤腹侧下级,受肿瘤压迫呈扁平状,显微镜下完整剥除桥小脑角区肿瘤,在神经电生理的监测下最大限度的保留了面神经解剖完整,同侧后组颅神经、三叉神经均予以良好的保护。术程顺利,患者未出现明显神经功能损伤,脑干功能正常,在医护人员的精心治疗下,第九天恢复良好出院。
听神经瘤是主要起源于内听道前庭神经鞘膜施旺细胞的良性肿瘤,又称前庭神经鞘瘤,占颅内肿瘤6%~ 9%,占桥小脑角肿瘤的 80%~90%。因其位于内听道及桥小脑角区域,随着肿瘤生长,逐渐压迫周围重要面神经、听神经及脑干组织,造成听力下降、面瘫及肢体瘫痪等严重症状,甚至威胁患者生命。郴州市第四人民医院神经外科团队长年致力于颅底肿瘤的微创治疗,特别是对听神经瘤的手术治疗、面听神经保护有丰富的经验,多年来术中神经电生理监测及神经刺激器的成熟应用能安全地将肿瘤切除且最大程度地保护面听神经。
来源:红网时刻
作者:李杭键
编辑:胡用梅
本文为郴州站原创文章,转载请附上原文出处链接和本声明。