红网时刻新闻4月23日郴州讯(通讯员 庞艳)近日,郴州市第四人民医院依托多学科协作(MDT)诊疗模式,成功救治一例因胃窦包埋性异物引发重度缺铁性贫血的疑难危重患者。通过内镜黏膜下剥离术(ESD)微创取出深埋异物,患者血红蛋白由入院时 34g/L显著回升至 99g/L,病情得到根本性逆转,现已康复出院。
患者因长期反复头晕、乏力、面色苍白前来就诊,入院时,血常规检查结果显示,其血红蛋白仅34g/L,多项血液指标显著降低,以“重度缺铁性贫血”收入肿瘤血液科。科室迅速对血液系统疾病、营养缺乏等常见诱因进行全面排查,均未找到明确失血病灶,结合患者隐匿失血特征,医院立即组织多科室开展了MDT多学科会诊,经综合研判,一致判定消化道隐匿性出血为贫血根本原因。

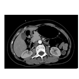
为精准锁定病因,医疗团队为患者完善腹部 CT、胃镜、超声内镜等联合检查,最终确诊为胃窦肌层包埋性异物。该异物长期刺激胃壁,造成黏膜持续微小破损、慢性隐匿失血,最终导致重度贫血,此类病例在临床较为罕见。

超声内镜清晰显示:胃窦壁内低回声管状肌性组织
明确诊断后,多学科团队快速制定个体化诊疗方案:由肿瘤血液科先予输血、补铁、纠正贫血等支持治疗,稳定患者生命体征;消化内科内镜充分评估异物位置、深度及粘连情况,摒弃传统开腹手术创伤大、恢复慢等不足,采用胃镜下ESD(内镜黏膜下剥离术)取出异物。
手术由消化内科副主任喻勤主刀,麻醉科麻醉师黄琼丽全程保驾护航。因异物完全包埋于胃窦肌层,位置深、视野差、粘连紧密,操作难度极高,稍有不慎易引发胃穿孔、大出血等并发症。术中,团队凭借娴熟技术,依次完成黏膜标记、逐层剥离肌层、异物取出、创面止血等关键步骤,顺利取出尖锐骨性异物,手术全程微创安全,无胃穿孔、大出血等并发症。
异物取出后,患者慢性失血根源彻底消除。在消化内科与肿瘤血液科联合管理下,经抑酸护胃、营养支持、规范补铁等治疗,患者头晕、乏力症状快速缓解,面色逐渐红润,复查血常规各项指标显著改善,贫血状况得到根本性纠正,顺利康复出院。
此次疑难病例的成功救治,是医院多学科协作机制高效运转的生动实践,更是内镜微创技术精准诊疗的有力体现。未来,郴州市第四人民医院将持续深化多学科协作,不断精进内镜微创等核心诊疗技术,以更精准、更优质、更微创的医疗服务,攻克更多疑难危重病症,全力守护群众生命健康。
来源:红网时刻
作者:庞艳
编辑:唐哲宁
本站原创文章,转载请附上原文链接。
